
Τα κατάγματα ισχίου είναι από τις πιο σοβαρές κακώσεις στους ηλικιωμένους. Μάθετε πώς συμβαίνουν, πώς προλαμβάνονται και ποιες είναι οι σύγχρονες θεραπείες, όπως η τεχνική AMIS για τα υποκεφαλικά κατάγματα.
Τα κατάγματα ισχίου (του “γοφού” όπως συχνά αποκαλείται) αποτελούν ένα από τα συχνότερα και πιο σοβαρά ορθοπαιδικά προβλήματα στους ηλικιωμένους. Σήμερα, οι ορθοπαιδικές κλίνες σε ένα δημόσιο νοσοκομείο σε χώρα του δυτικού κόσμου καταλαμβάνονται κατά 50 % περίπου από κατάγματα ισχίου. Καθώς η μέση ηλικία του πληθυσμού θα αυξάνει χρόνο με το χρόνο, αναμένεται το πρόβλημα των καταγμάτων αυτών να γίνεται όλο και μεγαλύτερο.
Στις ηλικίες αυτές, το ίδιο το κάταγμα αποτελεί ένα σημαντικό stress που «δοκιμάζει» τον οργανισμό. Όταν δεν αντιμετωπιστεί άμεσα και αποτελεσματικά υπάρχει υψηλός κίνδυνος απώλειας κινητικότητας και ανεξαρτησίας, καθώς και αυξημένη θνητότητα.
Στην πράξη, τα κατάγματα αυτά διακρίνονται κυρίως σε δύο κατηγορίες: τα διατροχαντήρια κατάγματα και τα υποκεφαλικά κατάγματα.
Τα περισσότερα κατάγματα ισχίου συμβαίνουν σε ηλικιωμένους ασθενείς μετά από πτώση “από το ίδιο ύψος”, ενώ δηλαδή βαδίζουν ήρεμα από το ένα σημείο στο άλλο. Η οστεοπόρωση παίζει καθοριστικό ρόλο, καθώς καθιστά τα οστά εύθραυστα και επιρρεπή σε κάταγμα ακόμη και μετά από μικρής έντασης τραυματισμό.
H εικόνα 1, αποτυπώνει τη σταδιακή μείωση της οστικής πυκνότητας με το χρόνο σε άνδρες και γυναίκες, πιο έντονη στις γυναίκες τα πρώτα χρόνια μετά την εμμηνόπαυση.
Στην εικόνα 2 απεικονίζεται παραστατικά η διαφορά στη δομή του υγιούς από το οστεοπορωτικό οστό και η συνακόλουθη ευπάθεια του δεύτερου σε κάταγμα.
Άλλοι παράγοντες που αυξάνουν τον κίνδυνο είναι:
Η πρόληψη είναι καθοριστική, ειδικά σε άτομα τρίτης ηλικίας. Τα σημαντικότερα μέτρα πρόληψης είναι: εικόνα 3
Υπάρχουν δύο κύριες κατηγορίες καταγμάτων ισχίου, που αντιμετωπίζονται με διαφορετική θεραπευτική φιλοσοφία η κάθε μία:
Η αντιμετώπιση των καταγμάτων αυτών είναι χειρουργική. Ο λόγος είναι ότι οι στόχοι της θεραπείας δεν γίνεται να επιτευχθούν με συντηρητική αντιμετώπιση. Έχοντας αντιμετωπίσει έναν πολύ μεγάλο αριθμό τέτοιων περιπτώσεων, η πλέον συχνή ερώτηση από τα ίδια τα παιδιά του ασθενούς, που νιώθουν το βάρος της ευθύνης μιας σοβαρής απόφασης αφορά τη δυνατότητα ή όχι του ηλικιωμένου ασθενούς, που συχνά έχει συνοδά προβλήματα υγείας, να ανταπεξέλθει στη διαδικασία της επέμβασης. Η ερώτηση. Η απάντηση είναι:
Είναι γνωστό στην ορθοπαιδική κοινότητα ότι το διατροχαντήριο κάταγμα είναι το πρώτο “εκπαιδευτικό” κάταγμα, αυτό στο οποίο οι νέοι γιατροί μαθαίνουν τις αρχές της χειρουργικής Τέχνης. Είναι λοιπόν ένα εύκολο και απλό κάταγμα; η απάντηση είναι σαφώς και όχι. Γίνεται απλό όταν υπάρχει βαθιά γνώση των σταδίων της επέμβασης και δυνατότητα αντιμετώπισης δυσκολιών που θα προκύψουν στην πορεία, παράδειγμα:
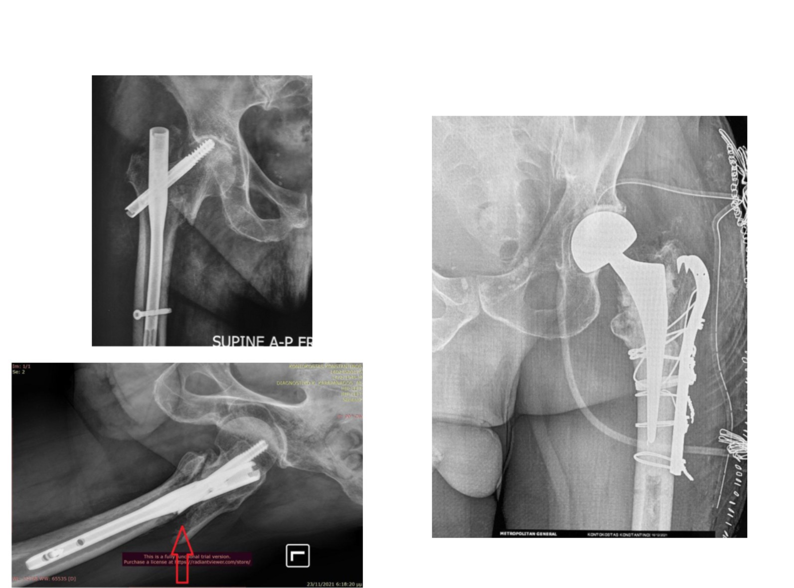
(εικόνα 8, δύο παραδείγματα υπερηλίκων ασθενών που εξαιτίας της μεγάλης συντριβής δεν επετέυχθη κλειστή ανάταξη. Ήταν αναγκαίο λοιπόν να τοποθετηθούν οστικά “σύρματα” με σκοπό να συκρατηθούν τα οστικά τεμάχια: μια τεχνική απαιτητική που απαιτεί μεγάλη εμπειρία)
Στην εικόνα 9, παρουσιάζεται η ιδανική τοποθέτηση του κεντρικού κοχλία στην κεφαλή του μηριαίου. Η ασθενής φόρτισε ελεύθερα από την πρώτη μέρα χωρίς φόβο αποτυχίας της οστεοσύνθεσης (βίντεο).
Στην εικόνα 10, ήλος που τοποθετήθηκε εξ’αρχής σε λάθος θέση, χωρίς πρώτα να έχει επιτευχθεί ικανοποιητική ανάταξη στο κάταγμα: η κινητοποίηση οδήγησε σε αποτυχία στο πρώτο μετεγχειρητικό τρίμηνο. Αντιμετωπίστηκε από την κλινική μας με οστεσύνθεση και αρθροπλαστική.
Τα διατροχαντήρια κατάγματα πρέπει να αντιμετωπίζονται από χειρουργό ισχίου με γνώση των ελάχιστα επεμβατικών τεχνικών, με εμπειρία σε μεγάλο αριθμό τέτοιων καταγμάτων.
Στη δική μου πρακτική εφαρμόζω, όπως και στην ολική αρθροπλαστική του ισχίου, τη μέθοδο AMIS: μια ελάχιστα επεμβατική τεχνική που επιτρέπει ταχύτερη κινητοποίηση και ανάρρωση των ασθενών. (Διαβάστε περισσότερα στην ενότητα για την τεχνική AMIS εδώ).
Στα κατάγματα ισχίου, είναι ζωτικής σημασίας να περιορίσουμε το χειρουργικό τραύμα, την απώλεια αίματος, τον πόνο μετά την επέμβαση. Είναι συνεπώς ευεργετική η χρήση μιας μεθόδου που εισήχθη στην ορθοπαιδική πρακτική για αυτούς ακριβώς τους λόγους.
Η μέθοδος AMIS (Anterior Minimally Invasive Surgery) είναι η πιο σύγχρονη και ανατομικά φιλική προσπέλαση για την ολική αρθροπλαστική του ισχίου.
Πραγματοποιείται διαμέσου μια πολύ μικρής τομής, 7 – 10 εκ. από το πρόσθιο μέρος του ισχίου.
Η επέμβαση συνεχίζει βαθύτερα μέσα από ένα φυσικό διάστημα ανάμεσα σε δύο μυϊκές ομάδες, χωρίς να κόβονται ή να αποκολλώνται οι μύες.
Στις εικόνα 11 και εικόνα 12 ημιαρθροπλαστική AMIS για υποκεφαλικό κάταγμα ισχίου, από προσωπικό αρχείο
Διαβάστε περισσότερα για τα στάδια της επέμβασης εδώ
Ο χειρουργός πρέπει να έχει πραγματοποιήσει μεγάλο αριθμό επεμβάσεων και να είναι πιστοποιημένος στη συγκεκριμένη προσπέλαση, ώστε να διασφαλίζεται η ασφάλεια και η ακρίβεια. Γι’ αυτό και είναι σημαντικό ο ασθενής να επιλέγει χειρουργό που ειδικεύεται στην AMIS.
Χωρίς ικανή εμπειρία, επιπλοκές μπορεί να συμβούν: στην εικόνα 13, στην αριστερή πλευρά ημιαρθροπλαστική AMIS στην οποία τοποθετήθηκε ολόκληρος ο στυλεός του μηριαίου εκτός του αυλού. Ο ασθενής κινητοποιήθηκε την επομένη με αφόρητο πόνο σε εξάρθρημα. Όσο κι αν φαίνεται απίθανο, είναι μια επιπλοκή που μπορεί να συμβεί σε μη έμπειρα χέρια. Δεξιά στην εικόνα φαίνεται ο ορθός τρόπος τοποθέτησης του στυλεού.
Στην εικόνα 14, κατά τη διάρκεια ημιαρθροπλαστικής AMIS, η απειρία οδήγησε σε εργώδεις προσπάθειες ανάταξης και κάταγμα κοτύλης. Αντιμετωπίστηκε στην κλινική μας με ειδικού τύπου πρόθεση κοτύλης του τύπου της αναθεώρησης αρθροπλαστικής (revision hip arthroplasty)
Η AMIS είναι η πιο ατραυματική μορφή ημιαρθροπλαστικής σήμερα.
Η αποκατάσταση διατροχαντηρίου – ήλωσης ή υποκεφαλικού – ημιαρθροπλαστικής AMIS είναι πρακτικά ίδια.
Ο ασθενής μας συνήθως επιστρέφει σπίτι 2 ημέρες μετά την επέμβαση. Η επιστροφή στο οικείο περιβάλλον είναι εξαιρετικά σημαντική.
Η φυσικοθεραπεία θα βοηθήσει στην ταχύτερη αποκατάσταση.
Η παρουσία ανθρώπων που θα φροντίζουν τον ηλικιωμένο, θα τον “πιέζουν” να κινητοποιείται, θα φροντίζουν το φαγητό και την καθαριότητά του, αλλά και θα του κάνουν απλά παρέα είναι επίσης πολύ σημαντική.
Στόχος όλων των παραπάνω είναι να αποκατασταθεί το προ του κατάγματος επίπεδο κινητικότητας σταδιακά, σε διάστημα 6 περίπου εβδομάδων
Τα κατάγματα ισχίου απαιτούν άμεση και εξειδικευμένη αντιμετώπιση. Η σωστή διάγνωση, η έγκαιρη χειρουργική αποκατάσταση και η εξατομικευμένη προσέγγιση, οδηγούν σε εξαιρετικά αποτελέσματα, ακόμη και σε προχωρημένη ηλικία.
Η κλειστή ενδομυελική ήλωση (διατροχαντήρια κατάγματα) και η τεχνική AMIS (υποκεφαλικά κατάγματα) προσφέρουν σήμερα τη δυνατότητα για γρηγορότερη ανάρρωση, λιγότερο πόνο και άμεση κινητοποίηση μετά το χειρουργείο. Σε συνδυασμό με την πρόληψη της οστεοπόρωσης και τη βελτίωση της φυσικής κατάστασης, μπορούμε να μειώσουμε σημαντικά την εμφάνιση και τις συνέπειες των καταγμάτων αυτών.
Η ταχύτατη αντιμετώπιση αυτών των καταγμάτων, σε συνδυασμό με την ατραυματική τεχνική και τη γρήγορη κινητοποίηση – βάδιση αποτελούν το κλειδί ώστε να ξεπεραστεί αυτή η δοκιμασία με επιτυχία. Σήμερα είναι εφικτό ο ηλικιωμένος με κάταγμα ισχίου να βρεθεί ξανά ασφαλής στο σπίτι του 2 – 3 μέρες μετά το κάταγμα.
EXCELLENT Based on 75 reviews Posted on Ioanna TsouroufliTrustindex verifies that the original source of the review is Google. Εξαιρετικός γιατρός και ανθρωπος ξέρεις ότι όλα θα πάνε καλά επέμβαση στο γόνατο το πρωί και το απόγευμα από τη σκάλα στο σπιτιPosted on Harris SaridisTrustindex verifies that the original source of the review is Google. Γιατρός που σέβεται την επιστήμη του. Αναλυτικός και επεξηγηματικός χωρίς να βιάζεται και προσπαθεί να προσεγγίσει το θέμα του ασθενή του απλά και κατανοητά. Σκέφτεται να κάνει το καλύτερο για αυτόν που έχει απέναντι του και με το επιστημονικό του κριτήριο (που είναι σε πολύ υψηλό επίπεδο) αλλά και με την ψυχολογία του ασθενή. Έμεινα απόλυτα ικανοποιημένος και τον προτείνω ανεπιφύλακτα και με βάση τις ιατρικές του γνώσεις και ικανότητες αλλά και για την ανθρώπινη αντιμετώπιση!!! Θέλω τέλος να επισημάνω και το εξαιρετικό αποτέλεσμα μετά το χειρουργείο, στο οποίο ήταν όλη την ώρα δίπλα μου, με τονίζοντας ξανά την ανθρώπινη προσέγγιση για ό,τι χρειάστηκα!!!Posted on george kentristakisTrustindex verifies that the original source of the review is Google. Δρ. Στέφανος Κουτσοστάθης Δεν μπορεί κάποιος με λίγες λέξεις να περιγράψει τον ανθρωπισμό και φυσικά την επιστημονική αξία του κυρίου Κουτσοστάθη. Εμπιστευτικά σε αυτόν ότι πολυτιμότερο έχει προσφέρει ο Θεός, τα παιδιά μου! Ξεπέρασε κάθε προσδοκία μου, τόσο σαν επιστήμονας, όσο και σαν άνθρωπος. Κύριε Κουτσοστάθη σας ευχαριστώ ολόψυχα για όσα μας προσφέρατε. Φίλε,πλέον , Στέφανε με τιμά το ότι με θεωρείς φίλο σου. Γεώργιος Κεντριστάκης Διασώστης-ΕΚΑΒ Αθηνών Αγαρίστη Ν. Κασπρίρη Πυρηνική ΙατρόςPosted on Elias SionidesTrustindex verifies that the original source of the review is Google. Μετά από μια αδέξια κίνηση, ο πόνος στο γόνατο άρχισε κάθε μέρα να γίνεται αφόρητος. Δεν με ανακούφιζαν φυσικοθεραπείες και αναλγητικά. Με τις απαραίτητες ακτινογραφίες απευθύνθηκα σε μερικούς καλούς ορθοπεδικούς οι οποίοι αποφάνθηκαν ότι το γόνατό μου ήταν ακόμη ανώριμο για αρθροπλαστική και συνέστησαν ενέσεις υαλουρωνικού έως ότου καταστραφεί τελείως για να προχωρήσουμε στην συνέχεια σε ολική επέμβαση. Ο πόνος με βασάνιζε για πολύ χρόνο ακόμη και απελπίστηκα. Με έσωσε ο εξαιρετικός ορθοπεδικός, κος Στέφανος Κουτσοστάθης, ο οποίος μου πρότεινε την μερική αρθροπλαστική άμεσα. Τέλος Ιανουαρίου έγινε η επέμβαση στο Metropolitan στην Λ. Μεσογείων και την ίδια μέρα σηκώθηκα, στάθηκα και περπάτησα. Μιάς ημέρας υποδειγματική νοσηλεία, έξοδος από το νοσοκομείο, βραχυχρόνια φυσιοθεραπεία και ΘΑΥΜΑ. Δεν πονάω πια, περπατάω άνετα και γεμάτη ευγνωμοσύνη. Χίλια ευχαριστώ τον καταπληκτικό γιατρό, τον άνθρωπο, Στέφανο Κουτσοστάθη. Γιατρέ μου,για πάντα ευγνωμονούσα. Σε ευχαριστώ. Κατερίνα Βούλγαρη- ΣιωνίδηPosted on lampros papavasilisTrustindex verifies that the original source of the review is Google. Εξαιρετικός χειρουργός και άνθρωπος, με άψογη δουλειά στο χειρουργείο και εντυπωσιακή προσοχή στη φροντίδα μετά την επέμβαση. Ένιωσα ασφάλεια και απόλυτη επαγγελματική υποστήριξη σε κάθε στάδιοPosted on ΘΑΝΟΣ ΚΑΛΙΑΣTrustindex verifies that the original source of the review is Google. Ο Στέφανος κατά αρχάς είναι εξαιρετικός άνθρωπος και ως χειρούργος ορθοπεδικός από τους καλύτερους που υπάρχουν. Αφού έχει χειρουργήσει την μητέρα μου τον πατέρα μου και όχι μία φόρα συνεχίσαμε με όλο το σοι από την επαρχία τα αποτελέσματα εξαιρετικά!! Το βασικότερο πάντα δίπλα σου !!!!! Σύντομα θα χειρουργήσει την σύζυγό μου ελπίζω εάν έρθει και η σειρά μου (που δεν το θέλω μεταξύ μας ) να είναι ακόμα μάχιμος!! Τον έχω συστήσει σε πολλούς φίλους και θα συνεχίσω να τον συστήνω ανεπιφύλακτα!!! Να είσαι ΠΆΝΤΑ καλά ΣΤΕΦΑΝΕPosted on ΛΑΜΠΡΟΣ ΣΗΦΑΚΗΣTrustindex verifies that the original source of the review is Google. Είναι ο γιατρός που πραγματικά μου έσωσε το πόδι… Ισχύο,μηρό,γόνατο και εσω-εξω σφυρό…Όλα αυτά σε ένα χειρουργείο!!! Πραγματικά απίστευτο!!! Είναι ο Άνθρωπος που βρισκόταν δίπλα μου συνέχεια και μου εξηγούσε την όποια απορία κι αν είχα!!! Εκτός απο άριστος χειρουργός, είναι πανω απ´όλα Ανθρωπος!!!Verified by TrustindexTrustindex verified badge is the Universal Symbol of Trust. Only the greatest companies can get the verified badge who has a review score above 4.5, based on customer reviews over the past 12 months. Read more
Χρησιμοποιούμε cookies για να βελτιώσουμε την εμπειρία σας στον ιστότοπό μας. Χρησιμοποιώντας τον ιστότοπό μας, συναινείτε στη χρήση cookies.
Manage your cookie preferences below:
Essential cookies enable basic functions and are necessary for the proper function of the website.
These cookies are needed for adding comments on this website.
Google Tag Manager simplifies the management of marketing tags on your website without code changes.
Statistics cookies collect information anonymously. This information helps us understand how visitors use our website.
Google Analytics is a powerful tool that tracks and analyzes website traffic for informed marketing decisions.
Service URL: policies.google.com (opens in a new window)
Marketing cookies are used to follow visitors to websites. The intention is to show ads that are relevant and engaging to the individual user.
Google Maps is a web mapping service providing satellite imagery, real-time navigation, and location-based information.
Service URL: policies.google.com (opens in a new window)
A video-sharing platform for users to upload, view, and share videos across various genres and topics.
Service URL: www.youtube.com (opens in a new window)


