Αναθεώρηση Αρθροπλαστικής Ισχίου

Revision Hip Arthroplasty

Εισαγωγή

Η αναθεώρηση αρθροπλαστικής ισχίου ή αλλιώς revision ισχίου είναι μια εξειδικευμένη χειρουργική επέμβαση που πραγματοποιείται όταν μια προηγούμενη ολική αρθροπλαστική ισχίου έχει αποτύχει ή παρουσιάσει προβλήματα: μέρος ή και όλη η ήδη υπάρχουσα  αρθροπλαστική αντικαθίσταται. Πρόκειται για μια ιδιαίτερα απαιτητική διαδικασία, η οποία στοχεύει:

  • στην αποκατάσταση της λειτουργικότητας της άρθρωσης
  • στη μείωση του πόνου
  • στην επαναφορά του ασθενούς σε μια φυσιολογική, ενεργή καθημερινότητα

Η αναθεώρηση απαιτεί ακόμη μεγαλύτερη εμπειρία, σε σχέση με μια αρχική αρθροπλαστική, προσεκτικό σχεδιασμό και τη χρήση εξειδικευμένων τεχνικών και εμφυτευμάτων. Ο λόγος είναι η  τεράστια ποικιλία, άρα και  ετερογένεια αυτών των περιπτώσεων και οι αντίστοιχα πολύ εξειδικευμένες εγχειρητικές τεχνικές. Η Ορθοπαιδική Κλινική MIS Αρθροπλαστικής Ισχίου & Γόνατος του Metropolitan General διαθέτει πολυετή εγχειρητική και ερευνητική εμπειρία στην αναθεώρηση αρθροπλαστικής κάτω άκρου (revision arthroplasty).

Γιατί μια αρθροπλαστική ισχίου μπορεί να χρειάζεται αναθεώρηση;

Σήμερα, ο αριθμός των νέων αρθροπλαστικών ανά έτος, σε παγκόσμια κλίμακα, συνεχώς αυξάνει. Παρότι οι σύγχρονες αρθροπλαστικές ισχίου προσφέρουν εξαιρετικά αποτελέσματα και μεγάλη διάρκεια ζωής, σε ορισμένες περιπτώσεις μπορεί να χρειαστεί αναθεώρηση. Με την πάροδο των ετών, τα υλικά φθείρονται, το οστό αλλάζει ή μπορεί να εμφανιστούν επιπλοκές που επηρεάζουν τη σταθερότητα και τη λειτουργία της άρθρωσης. Η ανάγκη για revision δεν σημαίνει απαραίτητα αποτυχία του χειρουργείου, αλλά φυσική εξέλιξη ή συνέπεια παραγόντων που δεν μπορούν πάντα να προβλεφθούν.

Ποιες είναι οι κύριες αιτίες που οδηγούν μια αρθροπλαστική ισχίου σε επέμβαση αναθεώρησης;

Οι συνηθέστεροι λόγοι για αναθεώρηση αρθροπλαστικής ισχίου περιλαμβάνουν:

  • Χαλάρωση ή φθορά των εμφυτευμάτων με την πάροδο του χρόνου. Μια πρόθεση που ήταν πολύ καλά στερεωμένη, μετά από πολλά χρόνια, δεν είναι πια. Η διαδικασία ξεκινά με οστεόλυση σε πρώιμα στάδια, διάβρωση δηλαδή του οστού γύρω από το εμφύτευμα. Η εκτεταμένη οστεόλυση οδηγεί σε απώλεια στήριξης. Σε προχωρημένα στάδια, η μετακίνηση των εμφυτευμάτων είναι ορατή ακόμη και με μια απλή ακτινογραφία

Ιατρική συμβουλη:

Ασθενείς με αρθροπλαστική Ισχίου δεν πρέπει να παραμελουν την ετήσια επίσκεψη επανελέγχου, ακόμη κι αν δεν έχουν κάποιο ενόχλημα! η πρώιμη διάγνωση της φθοράς του υλικού είναι πολύ σημαντική: με μια μικρή επέμβαση, για παράδειγμα, μπορεί να αντικατασταθεί μόνο ένα ένθετο πολυαιθυλενίου (το «πλαστικό») μιας αρθροπλαστικής ισχίου, πριν χαλαρώσει ολόκληρη η αρθροπλαστική.

  • Λοίμωξη στην περιοχή της πρόθεσης, που απαιτεί αφαίρεση και αντικατάσταση. Στη σηπτική χαλάρωση αρθροπλαστικής κάποιος μικροοργανισμός, οδηγεί και πάλι σε οστεόλυση και χαλάρωση («λοίμωξη αρθροπλαστικής» ή αλλιώς «μικροβιακή φλεγμονή αρθροπλαστικής»).
  • Εξάρθρημα ή αστάθεια του ισχίου, λόγω αρχικού κακού προσανατολισμού των υλικών ή εξαιτίας μυϊκής ανισορροπίας.
  • Κατάγματα γύρω από το εμφύτευμα μετά από πτώση ή τραυματισμό. Ο συνδυασμός χαλάρωση –> κάταγμα με μια ασήμαντη πτώση είναι ένα ιδιαίτερα απαιτητικό σενάριο.
  • Αλλεργική αντίδραση στο εμφύτευμα (σπάνιο).

Η σωστή διάγνωση των αιτίων βασίζεται σε:

  • ακτινογραφίες
  • αξονική ή μαγνητική τομογραφία
  • ειδικές αιματολογικές εξετάσεις (δείκτες φλεγμονής)
  • παρακέντηση άρθρωσης
  • απλό και ειδικό σπινθηρογράφημα

Πώς γίνεται η επέμβαση αναθεώρησης της αρθροπλαστικής του ισχίου

  • Πραγματοποιείται με γενική ή ραχιαία αναισθησία και διαρκεί συνήθως περισσότερο από μια πρωτογενή αρθροπλαστική.
  • Η επέμβαση απαιτεί εξειδικευμένα εργαλεία, εμπειρία και απόλυτη ακρίβεια.
  • Ο χειρουργός αφαιρεί προσεκτικά τα παλιά εμφυτεύματα, καθαρίζει την περιοχή και προετοιμάζει το οστό για τη νέα πρόθεση.
  • Σε πολλές περιπτώσεις, χρειάζεται η χρήση μοσχευμάτων ή ειδικών μεταλλικών εξαρτημάτων για να αποκατασταθεί η απώλεια οστού και να εξασφαλιστεί η σταθερότητα της νέας άρθρωσης.
  • Στην άσηπτη χαλάρωση και σε περιπτώσεις αστάθειας – εξαρθρήματος τα εμφυτεύματα αφαιρούνται και τοποθετούνται νέα κατά τη διάρκεια μίας και μόνο επέμβασης.
  • Σε περιπτώσεις μικροβιακής χαλάρωσης συνήθως εφαρμόζουμε πρωτόκολλο επανεμφύτευσης σε δύο στάδια (two stages re – implantation): είναι απαραίτητο να αφαιρεθούν τα υλικά, να γίνει επιμελής καθαρισμός και πλύσιμο, στη συνέχεια ο ασθενής να πάρει για εβδομάδες αντιβίωση προτού γίνει νέα εμφύτευση.

Παραδείγματα περιπτώσεων από το αρχείο μας

Στην εικόνα 1 επάνω αριστερά, ασθενής με φθορά στο “πλαστικό” της αρθροπλαστικής, χωρίς σημαντικά συμπτώματα. Συστήσαμε άμεση επέμβαση αντικατάστασης, συμβουλή που δεν ακολούθησε. Λίγους μήνες μετά, κάτω αριστερά, η πρόθεση της κοτύλης μετακινήθηκε εμφανώς πλέον και η αρθροπλαστική εξαρθρώθηκε. Αντιμετωπίστηκε (δεξιά) με επέμβαση αναθεώρησης της κοτύλης με τοποθέτηση οστικού μοσχεύματος και ειδικού  τύπου πρόθεση, με άριστο αποτέλεσμα.

Στην εικόνα 2 ασθενής με πολλαπλά επεισόδια εξαρθρήματος και μία επέμβαση αναθεώρησης χωρίς επιτυχία ήδη στο ιστορικό του. Αιτία, δεν ήταν η κακή τοποθέτηση όπως αρχικά είχε θεωρηθεί, αλλά νευρομυικό πρόβλημα. Αντιμετωπίσαμε την κατάσταση με αναθεώρηση, χρησιμοποιώντας μια ειδικού τύπου κοτύλη, “κλειδούμενη”. Ο ασθενής έζησε άλλα 7 χρόνια μετά την επέμβαση,  με πλήρη δραστηριότητα, χωρίς να υποστεί ξανά εξάρθρημα

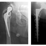
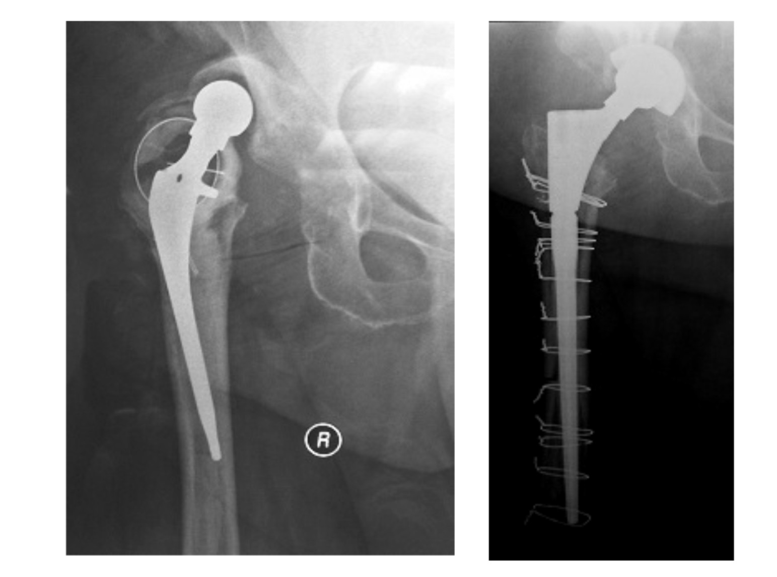
Στην εικόνα 3, ασθενής που κατά την αρχική της  επέμβαση υπέστη κάταγμα μηριαίου. Αντιμετωπίσθηκε λανθασμένα με τοποθέτηση συρμάτων τα οποία δε συγκράτησαν το κάταγμα. Λίγες εβδομάδες μετά, την αντιμετωπίσαμε με αναθεώρηση του μηριαίου στυλεού με ένα ειδικού τύπου μακρύ στυλεό και πολλαπλά σύρματα. 2 χρόνια μετά βαδίζει χωρίς ενοχλήματα.

Στην εικόνα 4, κακή τεχνική οστικού τσιμέντου στη κοτύλη ΚΑΙ στο μηρό. Αποκόλληση ολόκληρης της κοτύλης, κάταγμα στο μηρό και εξάρθρημα, μόλις 2 μήνες μετά την επέμβαση. Αναθεώρηση με τοποθέτηση κοτύλης πορώδους τανταλίου και μακριά πρόθεση μηρού, με άριστο αποτέλεσμα, βάδιση χωρίς πόνο και χωρίς αστάθεια

Γιατί η αναθεώρηση αρθροπλαστικής πρέπει να γίνεται από εξειδικευμένο χειρουργό ισχίου;

Η αναθεώρηση αρθροπλαστικής ισχίου είναι από τις πιο απαιτητικές επεμβάσεις στην ορθοπαιδική χειρουργική. Ο εξειδικευμένος χειρουργός ισχίου διαθέτει εμπειρία στην αντιμετώπιση των τεχνικών δυσκολιών που προκύπτουν, όπως η απώλεια οστού, οι συμφύσεις, οι προηγούμενες ουλές ή οι παραμορφώσεις. Επιπλέον, γνωρίζει πώς να προσαρμόσει την επιλογή των εμφυτευμάτων και των τεχνικών ανάλογα με την ανατομία και τις ανάγκες του κάθε ασθενούς. Εξατομίκευση σημαίνει ένα λεπτομερές προεγχειρητικο πλάνο και άριστη οργάνωση για την πραγματοποίησή του. Στην πράξη, ωστόσο, όχι σπάνια, προκύπτουν κατά την ώρα της επέμβασης προβλήματα που απαιτούν προσαρμογή: oι προσλαμβάνουσες παραστάσεις στη χειρουργική της αναθεώρησης, «εκπαιδεύουν» το χειρουργό να μπορεί να σκέφτεται και «εκτός πλάνου» όταν απαιτείται. Η δυσκολία, αλλά και γοητεία της αναθεώρησης της αρθροπλαστικής ισχίου, είναι το γεγονός ότι ποτέ ένα περιστατικό δεν είναι ίδιο με κάποιο άλλο.

Ιατρική συμβουλη:

Απευθυνθείτε σε εξειδικευμένο κέντρο χειρουργικής  του ισχίου, αν πιστεύετε ότι η αρθροπλαστική σας δεν λειτουργεί πια σωστά. Αν πράγματι υπάρχει πρόβλημα θα γίνει αξιόπιστη διάγνωση και αναλυτική πρόταση ασφαλούς πλάνου αντιμετώπισης.

Αποκατάσταση και αποτελέσματα

Η περίοδος ανάρρωσης μετά από αναθεώρηση αρθροπλαστικής ισχίου μπορεί να είναι ελαφρώς μεγαλύτερη σε σχέση με την αρχική αρθροπλαστική. Προφανώς το πρωτόκολλο αποκατάστασης εξατομικεύεται καθώς κάθε περίπτωση είναι εντελώς ξεχωριστή. Ωστόσο τα αποτελέσματα είναι συνήθως εξαιρετικά. Οι περισσότεροι ασθενείς αναφέρουν σημαντική μείωση του πόνου και βελτίωση της κινητικότητας. Η φυσικοθεραπεία ξεκινά σύντομα μετά την επέμβαση, με στόχο την ενδυνάμωση των μυών και τη σταδιακή επάνοδο στη βάδιση. Με την κατάλληλη καθοδήγηση και παρακολούθηση, οι ασθενείς μπορούν να επιστρέψουν σε έναν δραστήριο και ανώδυνο τρόπο ζωής.

Συμπέρασμα

Η αναθεώρηση αρθροπλαστικής ισχίου είναι μια απαιτητική αλλά εξαιρετικά αποτελεσματική επέμβαση που μπορεί να αποκαταστήσει πλήρως τη λειτουργικότητα του ισχίου και να απαλλάξει τον ασθενή από χρόνιο πόνο. Η επιλογή ενός εξειδικευμένου χειρουργού ισχίου, με εμπειρία και σύγχρονο εξοπλισμό, αποτελεί το σημαντικότερο βήμα για ένα ασφαλές και επιτυχημένο αποτέλεσμα. Με σωστό σχεδιασμό, τεχνική αρτιότητα και μετεγχειρητική φροντίδα, η αναθεώρηση μπορεί να προσφέρει μια δεύτερη ευκαιρία σε ένα λειτουργικό και σταθερό ισχίο.

Ώρες γραφείου

Δευτέρα09:00 - 13:00
Τρίτη07:00 - 20:00
Τετάρτη09:00 - 14:00
Πέμτπη16:00 - 21:00
Παρασκευή10:00 - 13:00